親知らずは抜いた方がいい?
- 院長ブログ
豊中駅より徒歩3分のうおた歯科医院です。
ブログのご訪問ありがとうございます。


朝晩は暑さも和らいできましたね。
気温の変化に体調崩さないようお気をつけください。
親知らずに痛みや腫れがある方。
症状はないけど抜いたほうがいいか悩んでおられる方。
親知らずの抜歯についてご紹介いたします。
親知らずとは
前歯から数えて8番目の歯で、18歳から20歳くらいに生えてくることが多いよう
です。永久歯の中で一番最後に生えてくるため、あごの小さくなった現代人には生える
スペースがなく、横や斜めに傾いてでてきたり、骨の中に埋まったまま生えてこない場合も
あります。
親知らずを放置すると
親知らずが生えてブラッシングが充分にできず、汚れが残りやすいためトラブルが起こりま
す。
奥歯はもともと歯ブラシが当てにくいのですが、奥歯のさらに奥に生えてくるためブラッシ
ングしにくく汚れが残りにくい傾向にあります。
そのため、汚れが原因で虫歯になる可能性もあります。
また、親知らずは斜めに生えることも多く、その部分はとくに汚れを取り除くのがむずかしく、むし歯
になりやすいといわれています。

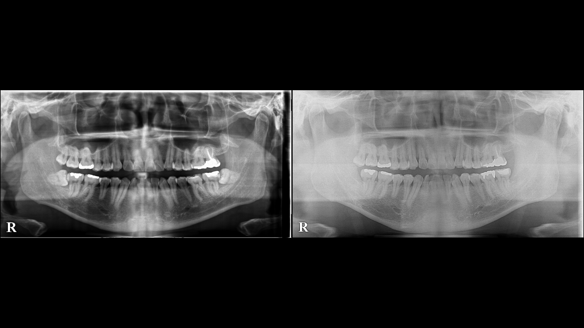
左側の写真は親知らずを抜く前の写真です。
左下の親しらずは横向きに生えており、前の歯の隣接面が虫歯になっています。
親知らずを抜いて虫歯の治療が必要です。
右の写真は抜歯後の写真です。
ブラッシングが容易にできる環境になっています。
抜かなくていい親知らず
きれいに生えてきて、歯磨きもしっかりできている場合
完全に骨の中に埋まっていて、今後も問題が起こる可能性が低い場合
抜く親知らず
親知らずの周囲の歯茎が腫れている場合
親知らずが虫歯になっている場合
親知らずが斜めや横向きに生えている場合
当院でも親しらずの抜歯等の治療を行なっております。
親知らずでお困りの方は一度ご相談ください。
また、歯の健康をチェックし長持ちさせるためにも、3ヶ月に1回は歯のクリーニングと検診にお越しください。
当院は、阪急豊中駅北改札口を出て徒歩3分ほどです。
阪急沿線沿い国道176号線沿いにございます。
1階と2階に診療室がございます。

1階は主に予防歯科・クリーニングを行っております。
ゆったりと歯のクリーニングをおこないます。
土曜日の午後も診療しております。
お電話・WEBでもご予約が可能です。
豊中市のうおた歯科医院でお待ちしております。








