ホワイトニング中にオススメの歯磨剤・知覚過敏をおさえる
- 院長ブログ
豊中駅より徒歩3分の
うおた歯科医院です。
ブログのご訪問ありがとうございます。


3月13日からマスクは個人の判断へ
春からの新生活
ご就職・ご結婚式などの
特別な日に向けて
ご自身の歯を
ホワイトニングされる方も多いです。


むし歯や矯正などの
歯の治療を終えられて
歯への意識が高まり
ホワイトニングをはじめられる
患者さまもいらっしゃいます。
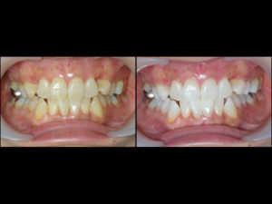
歯のホワイトニングは
色を綺麗にするだけではなく
自信に満ち溢れた
前向きな明るい笑顔や
表情にも大きな良い影響を
もたらすと思います。
幅広い年齢層の方にオススメいたします。
お好みの白さを
自然な白さや
パキッと透明感のある白さ
ぜひご希望の歯の色のイメージを
お伝えくださいね。
今からスタートすると
脱マスクにも間に合います。
ホワイトニングは
歯科医師指導のもと
安全な歯科治療ですが
唯一しみるという症状が
出る場合がございます。
この症状は知覚過敏と言われますが
ホワイトニング中の知覚過敏は
一般的な知覚過敏と異なり
ホワイトニングが終了すれば
必ず治るものです。
ホワイトニング中の知覚過敏
歯がしみるという症状は
個人差が大きいです。
またホワイトニング剤の
濃度が高くなると知覚過敏も強くなります。
知覚過敏をさけるために
ホワイトニング剤の濃度を下げたり
使用時間を短くするなど
改善方法はございますが
当然効果は減ります。
もし知覚過敏が出ると
不快だと思いますが
ご自身の我慢のできる範囲で
乗り越えていただけると
平均約4週間で白い歯が手に入ります。

当院では
ホワイトニングによる知覚過敏には
知覚過敏を大幅におさえる
歯磨剤をオススメしております。
デントレードホワイトニング
トゥースペースト
40グラム1330円です。
歯科専売品です。
硝酸カリウムと乳酸アルミニウムが配合
されています。
ちなみにフッ素無配合です。
ホワイトニング中は
フッ素が
入っていない歯磨剤が好ましいです。
ホワイトニングにご興味のある方
歯を白くしたい方は
ぜひ豊中市のうおた歯科医院に
お気軽にご相談ください。
当院は、阪急豊中駅
北改札口を出て徒歩3分ほどです。

1階はチェア1台の
プライベートな空間で
主に、予防歯科・検診・歯のクリーニングを
行なっております。
プライベートな空間で
リラックスしたお時間を
すごしていただけます。
お電話・WEBでもご予約が可能です。
歯やお口周りで気になる点が
ございましたらお気軽にご予約してください。








