デュアルホワイトニングはじめませんか?
- 院長ブログ
豊中駅より徒歩3分の
『うおた歯科医院』です。
ブログのご訪問ありがとうございます。

気がつけば、、
今日で6月最終日、、
1年の半分
折り返し地点という節目である今日
年始に立てた目標を振り返るのに
ぴったりです。
もう一度今年の目標や
チャレンジしたかったこと
行きたかった場所
会いたかった人
伝えたい事・・想い・・?!
皆さま色々あると思います。
ましてやこのコロナ禍
我慢と不自由だらけです。
この折り返し地点を期に
今この時のできる範囲で
目標達成
チャレンジしたかった事を
もう一度行動・実行をしたいですね!
歯科医院でいうと
歯のホワイトニングにご興味のある
または
白い歯に憧れる患者さまは
たくさんおられます。
思い切って、今年中にはじめてみませんか?

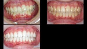
上記の画像の患者さまは
当院で歯の矯正治療後
当院のデュアルホワイトニングで
最大限の白さを引き出し
見違えるほどの
輝く白い歯に生まれ変わりました。
輝く笑顔がさらに煌めきます。
美白歯磨き粉や歯のクリーニング
流行りの歯のエステでは
ここまでの効果は出ません。
歯科医院で行うホワイトニングは
特殊な薬剤を使って歯の中の
色素を分解させます。
歯を削ったりはいたしません。
また、ホワイトニングができる歯は
ご自身の歯のみです。
当院のデュアルホワイトニング
は歯科医院とご自宅で
合わせておこなっていただく
ホワイトニングとなります。
・オフィスホワイトニング
歯科医院で行うホワイトニングです。
歯の表面に薬剤を塗り
光を照射して、薬剤を活性化させ
短時間で歯を白くします。
即効性かつ短時間で
白くできますが
白さの後戻りがやや早いです。
・ホームホワイトニング
ご自宅で行う方法です。
歯科医院で患者さまにあった
上下のマウスピースを作成して
お渡し致します。
このマウスピースに薬剤を
塗り毎日装着することで
個人差がございますが
2〜3週間かけて
歯を白くしていきます。
お時間がかかりますが
白さが持続いたします。
歯の状態を見て
薬剤の濃度も徐々に上げていきます。
デュアルホワイトニングは
オフィスホワイトニングの即効性と
ホームホワイトニングの持続性の
両方の利点があり
白さを一番長持ち
させることが可能です。
うおた歯科医院では、こちらの
ホワイトニング方法を行っております。
非常にお勧め度の高い施術です。
ホワイトニングは女性に限らず
男性の方にもおすすめいたします。
さらに輝く綺麗な明るい白い歯を
ご希望の方は
ぜひうおた歯科医院で
手に入れてください。

歯のホワイトニングに
ご興味がございましたら
是非ご予約の上、御来院下さい。
もちろん、ご相談だけでも大丈夫です。
当院は、阪急豊中駅
北改札口を出て徒歩3分ほどです。

阪急沿線沿い
国道176号線沿いにございます。
1階と2階に診療室がございます。
土曜日の午後も診療しております。
お電話・WEBでもご予約が可能です。
豊中市のうおた歯科医院で
お待ちしております。








