歯を抜かない治療法・エクストリュージョン・クラウンレングスニング
- 院長ブログ
豊中駅から徒歩3分の
うおた歯科医院です。

ブログのご訪問ありがとうございます。

年内の診療は
12月29日火曜日の午前のみとなります。
年始は1月6日水曜日から通常通り診療いたします。
7日木曜日は診療いたします。
ご迷惑をおかけいたしますが
何卒ご了承ください。

当院の入り口に手の消毒液を
置いています。
ご来院されましたらまずお使いください。
師走を迎え
何かと慌ただしい時期ですね。
月日が経つのはあっという間で
今年も残り約1ヶ月となりました。
皆さまの今年1年はどんな1年でしたか?
やはりコロナ一色の年
だった気もします・・・
元気に無事に
新年を迎えられるように
暖かくして
体調を崩したりせず
冬の味覚や
栄養のあるものをしっかりと
噛んで食べて
1日1日を大切に過ごしたいですね!

ご自身の大切な歯は抜いたりせずに
いつまでも残していきたいですよね!
通常歯ぐきの奥深くまで
むし歯が進行していたり
歯が折れるなどして
歯の根だけが残っていまうと
残念ながら抜歯になる場合がほとんどです。
しかし、歯ぐきに埋まっている
健康な部分を利用すれば
歯を抜かずに治療することができます。

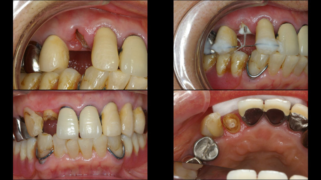
◯エクストリュージョン・・歯ぐきに
埋もれた歯の根を上に引っ張り出す
治療法です。
残った歯の根の部分に
矯正器具をつけて
ゆっくりと上に引っ張りあげていきます。

引っ張り出した
ご自身の歯の根部分に
被せ物の土台を立てれます。
◯クラウンレングスニング・・歯ぐきに
埋もれた歯の根を
手術で掘り起こす治療法です。
歯ぐきを下げる手術をして
埋もれた歯の根の一部を露出させます。
どちらも歯を抜く事なく
被せ物の
治療ができるようになります。
どちらも保険はききません。
長所も短所もございます。
歯の状態によっては
歯を残せない場合もございます。
精密な診査・診断を行い
治療が可能かどうかを
ご説明いたします。
当院は、阪急豊中駅
北改札口を出てまっすぐに
徒歩3分ほどです。
当院は
阪急沿線沿い
国道176号線沿いにございます。

1階の診療室はプライベートな空間で
主に
予防歯科・定期検診・歯のクリーニングを
行なっています。

お電話・WEBでもご予約が可能です。
お口周りで気になる点が
ございましたらお気軽に
豊中市のうおた歯科医院に
ご相談してください。








