ご自身の歯の色は気になりませんか?
- 院長ブログ
豊中駅から徒歩3分の
うおた歯科医院です。


ブログのご訪問ありがとうございます。
年内の診療は
12月28日(水)の午前のみとなります。
年始は
5日(木)より通常通り診療いたします。
ご不便をおかけいたしますが
何卒よろしくお願い申し上げます。

11月ラストです。
今年も残り1ヶ月
2022年やり残した事は
ございませんか?
歯の色が気になる
昔に比べてだんだん
黄色くなった気がする・・
歯の色がくすんでいる気がする・・
ホワイトニングで歯を白くしたいと
思っていらっしゃる方
すごく多いと思います。
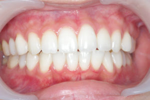
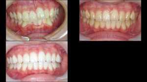
当院のデュアルホワイトニングは
約1ヶ月ありましたら
見違える程
輝く白い歯に生まれ変わります。
歯の色は見た目の印象を
決める上で非常に重要です。
ナチュラルに白い歯が好印象です。
見た目の年齢が若くなり
内面の気持ちまで明るく
笑顔に自信が持て
結果、笑顔が増え
さらに前向きになって
生活の質が向上することも期待できます。
生まれ持った歯の色は
個人差がございます。
加齢・お薬の影響
着色(ステイン)汚れ
むし歯など
原因をしっかりと
診させていただいた上で
ホワイトニングをスタートいたします。
ホワイトニングの作用を
最大限に引き出すために
歯科衛生士がます最初に丁寧に
しっかりとクリーニングをいたします。
これにより、歯にしっかりと薬剤が
しみ込み高いホワイトニング効果が期待できます。
当院のデュアルホワイトニングとは
歯科医院で施術する
オフィスホワイトニングと
ご自身の好きなタイミングで行える
ホームホワイトニングを併用する施術です。
オフィスホワイトニングは
即効性があるものの
ホームホワイトニングより早い期間で
色戻りが起こってきます。
またホームホワイトニングは
手軽さや持続性が魅力ですが
オフィスホワイトニングのような
即効性はございません。
オフィスホワイトニングは
約1週間に一度来ていただき
4・5回を目処に歯科医院で
施術いたします。
患者さまのご希望の色合いになるように
ご一緒に確認を行いながら進めていきます。
乳幼児の乳歯は艶やかで
白くて綺麗です。
これはまず歯があまり汚れていないのと
乳歯は象牙質が薄いので
永久歯に比べて白く見えます。
どなたも
乳歯と永久歯を比べると
象牙質が厚い
永久歯が黄色いです。
歯の内側の柔らかい組織の
象牙質は黄色みがかった色で
外側の硬いエナメル質ははぼ透明の色です。
エナメル質が厚い方は歯が白く見え
象牙質が薄い方は歯が白く見えます。
また歯の表面の滑らかさや
光の透過性
反射具合でも
色の見え方に違いが出てきます。
当院では大臼歯まで
しっかりホワイトニングいたします。
全ての歯が白くなります。
歯の表面が汚れているために
黄色く見えることもございます。
歯ブラシで取れない歯垢や
ステインが付着している場合もございます。
ぜひ一度、歯のクリーニングと検診を受けてください。



歯の色が気になる方はぜひご相談ください。

(当院1階は予防歯科・クリーニング専用です)
むし歯・歯周病のない
健康的なお口を保ち
ホワイトニングで
健康的な明るい白い歯を手に入れてください。
お電話・WEBでもご予約が可能です。
豊中市のうおた歯科医院で
お待ちしております。









