こどもの舌小帯短縮症について
- 院長ブログ
豊中市の『うおた歯科医院』です。
ブログのご訪問ありがとうございます。

二階の診療室のチューリップの
切り絵です。
とても色鮮やかで、院内が明るくなります。
4月の半ば
寒さも和らぎ、風も爽やかです。
新生活は少しは慣れましたでしょうか?
GWまでまずは
頑張っていきましょう!

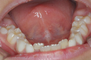
お子さまで舌小帯が短い場合があります。
舌小帯短縮症といいます。
先天性の異常です。
舌の裏面と口腔底の間を結ぶ
粘膜でこれが短いものを
舌小帯短縮症といいます。
舌の動きが制限されている状態です。
症状としては
・舌を動かしにくい
・舌の動きが大きいサ・ラ行の発音に
支障をきたすことがある。
滑舌が悪くなる。
・舌が上に持ち上げれないので
正常な咀嚼が出来ていない。
・遺伝性
親御さまも子供の頃に
舌小帯を切った。
・乳児だと上手くミルクが吸えない
場合もございます。
・舌を前に出した時に
舌が舌裏の小帯に引っ張られて
真ん中がハート状にくぼむ。
発音がハッキリしない等の
問題を抱えていらっしゃるなら
ぜひ一度、舌の裏をぜひ
ご確認ください。
程度も様々です。
少しでもご心配な時は
当院に
お気軽にご相談ください。
小さなお子さまなら
成長に伴い正常な形態へと
変化することもあるために
必ずしも手術が必要ではなく
経過観察もございます。
ただ児童で舌小帯短縮症で
機能障害が本人の
精神的・心理的負荷につながる場合は
手術の検討もございます。
お子さまの舌小帯短縮症の
手術治療も積極的に
取り組んでおります。
手術自体は大掛かりなものでは
ございません。
必要性や時期など
ご一緒に充分に検討していきましょう。
↓2009年5歳女児・手術

手術2ヶ月後

2012年歯列矯正

2015年


0歳からの歯科検診も行っております。
下の歯が生えたぐらいから
歯とお口周りの検診をしましょう。
フッ素塗布をおこない
むし歯の治療をしなくても
良い状態から
定期的に歯科受診をして
将来的にむし歯になりにくい
良い状態を末長く
保っていきましょう。
1歳半や3歳児検診で
むし歯を指摘され
むし歯治療が
初めての歯科医院デビューだと
すんなりと治療を受けて
いただく事も難しいと思います。
親子でご一緒に
予防歯科を受診される事を
おすすめいたします。
小さなお子さま連れで
泣いたり・周りの迷惑と思い
ためらったりもあると思います。
アットホームな当院です。
お気遣いは一切不要です。
子どもは泣くのは当たり前です。
赤ちゃんを抱っこしたままの治療や
お母さまのお顔が見えるように
ベテランスタッフが抱っこなど
柔軟に対応できます。
まずはお気軽に
足を運んでくださいね!

当院は、阪急豊中駅
北改札口を出て徒歩3分ほどです。
1階と2階に診療室がございます。
1階は主に予防歯科
定期検診・歯のクリーニングの
患者さま専用の
個室スペースとなっています。
ゆったりと歯のクリーニングを
受けていただけると思います。

土曜日の午後も診療しております。
お電話・WEBでもご予約が可能です。
気になる点・お困りごと
歯のクリーニングと検診を
ご希望でしたら
豊中市のうおた歯科医院へ
起こしください。








